We know that Wii is a video console which means it can play videos, no question. So if Wii can not play DVDs directly, then we can rip your DVDs into a
white and whole wheat bread.white rice.breakfast cereals and cereal bars.cakes, cookies, and sweet treats.potatoes and fries.chips and rice crackers.fruits
Cryptography ensures the integrity of data using hashing algorithms and message digests. By providing codes and digital keys to ensure that what is received
Essentially, the debt service coverage ratio shows how much cash a company generates for every dollar of principal and interest owed. It is calculated by
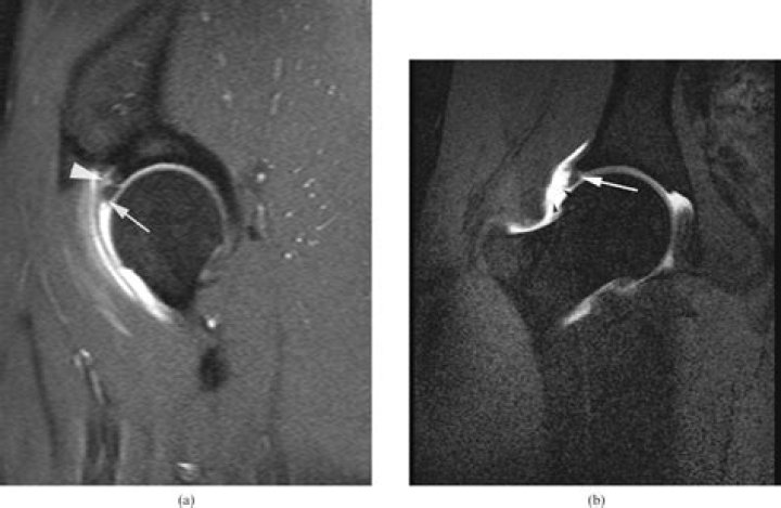
An arthrogram is a test that helps healthcare providers diagnose joint problems, such as hip or shoulder pain. MR arthrograms can show ligament, tendon and
Can You Resurface Drilled and Slotted Rotors? You can cut or machine a drilled and slotted rotor. Just set your brake lathe to its slowest setting to avoid