autarky, an economic system of self-sufficiency and limited trade. A country is said to be in a complete state of autarky if it has a closed economy, which
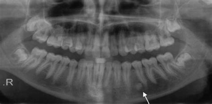
Objectives: Radiopacity of dental materials enables clinician to radiographically diagnose secondary caries and marginal defects which are usually located on
AJ and I decided a long time ago that we wanted to go with a traditional brick style for our fireplace in our living room. There are so many stone options...
Majestic spikes of tubular flowers rise in late spring and summer; their flowers come in a wide range of colors. Of the many foxgloves available, two are
While many forms of thermal pollution originate at point sources, climate change (discussed throughout this book) represents a nonpoint source of thermal
Do August smart locks work without Wi-Fi? Yes, August smart locks can be operated without Wi-Fi as they can also connect via Bluetooth or Z-Wave. However,...
An action learning set (ALS) is a group of people within a workplace that meet with the specific intention of solving workplace problems. The main aim of an